CASOS DE ÉXITO

Casos de éxito

Cambia tu sonrisa

Pide tu cita ahora y empieza con tu cambio.

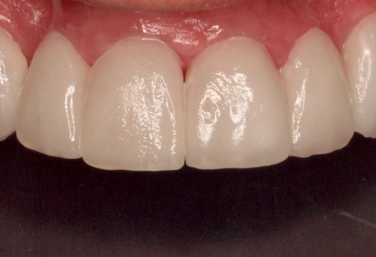
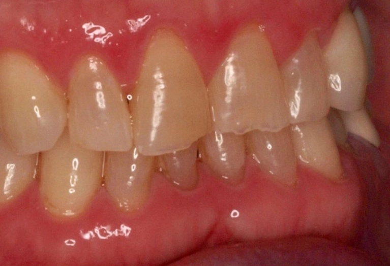
Laminados Cerámicos: Casos de éxito

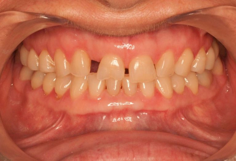
Ortodoncias: Casos de éxito

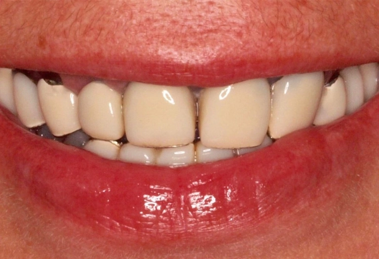
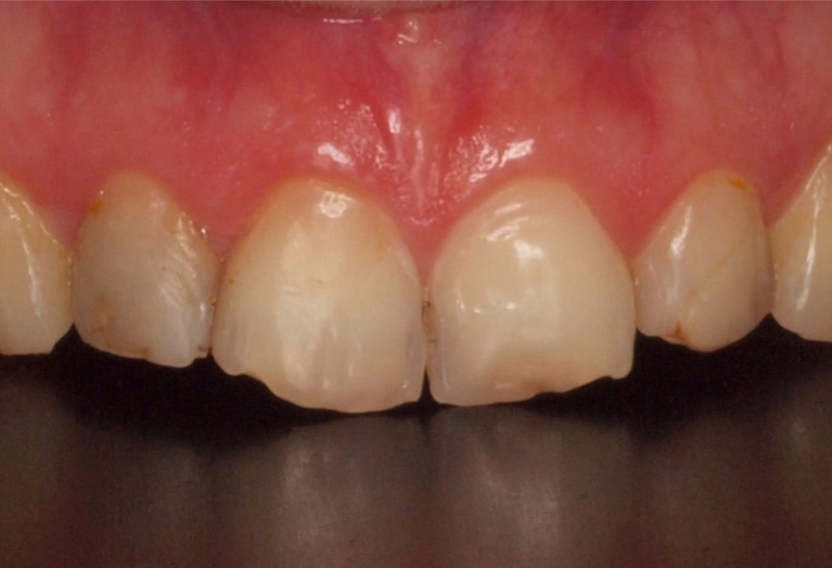
Carillas: Casos de éxito